Dans le cadre du projet AGIR, l'équipe Rainbow s'intéresse à la comparaison d'algorithme de recalage d'images 3D. Le recalage d'images consiste à aligner différentes images pour les faires coincider au mieux:
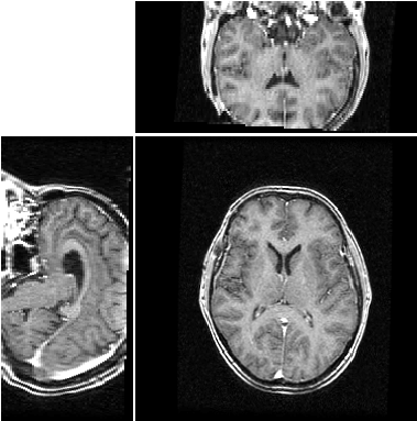
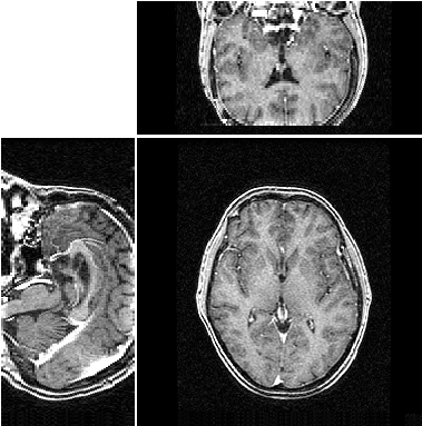
| ![]() | |
| sans recalage | avec recalage |
Ces algorithmes sont coûteux en calculs et l'utilisation de grille de calcul a permis de tester plusieurs algorithmes existants sur des grandes bases de données. Cependant, seule des méthodes utilisant des transformations globales des images ont été utilisées. Ces transformations correspondent pas exemple au fait qu'un patient a pu bouger la tête au cours d'une acquisition IRM. Lorsque l'on veut comparer des images prises à des époques différentes ou bien comparer des images issus de plusieurs patients, ces transformations globales ne suffisent plus: il faut également tenir compte de transformations locales:

Différents algorithmes permettant de prendre en compte ces déformations locales existent mais ce qui manque aujourd'hui c'est une représentation commune afin de les comparer. C'est le but du projet.
Les étapes du projet:
Le sujet du stage est en continuité avec le projet et consistera entre autres à établir une mesure de comparaison entre mouvements issus de plusieurs types de transformations. Des expériences sur des images réelles et sur une grille de calcul est envisagé en fonction de l'avancement du stage.
POURSUITE EN STAGE: possible pour une personne